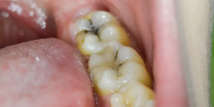
One morning, you awaken with a searing pain in your teeth. You visit the dentist and discover that you have a cavity. You are terrified of having a drill in your mouth, not to mention the cost of the cavity treatment.
But now the concern is, how to stop a cavity from growing? Maintaining proper dental hygiene is crucial for general health. Cavity prevention is a crucial element of oral care.
That is why we will discuss practical techniques to prevent a cavity from forming and maintain your dental health. Continue reading to learn more.
Table of Contents
Maintain a Proper Oral Hygiene Routine
A regular oral hygiene program is the basis of ideal dental health. Brush your teeth using fluoride toothpaste and a soft-bristled toothbrush at least twice. Flossing removes plaque and food particles from between your teeth.
You may build a thorough oral hygiene program by adding these ways into your everyday life. Keeping a complete dental hygiene practice assures a bright smile.
It also helps considerably with your general health and well-being.

Use Fluoride Toothpaste and Mouthwash
Fluoride fortifies tooth enamel and increases its resistance to acid assaults. To prevent cavities, ensure your toothpaste and mouthwash include fluoride.
The enamel is re-mineralized by fluoride, and it also stops cavities from growing worse. Ensure fluoride is included in the toothpaste you choose by reading the package. The majority of reliable toothpaste brands contain fluoride as a primary component.
For kids, use fluoride toothpaste that is suitable for their age. Fluoride toothpaste should be used sparingly for children under three and liberally for children three to six.
A pea-sized quantity can be used by adults and older kids as well. Your dentist may recommend a toothpaste with more fluoride if you have a higher risk of cavities.
Limit Sugary Foods and Drinks
Sugar feeds bacteria in the mouth, which produces acids that erode enamel and cause cavities. Continuous exposure to sugary things can foster the growth of dangerous germs and cause long-term damage to your teeth.
Reduce your consumption of sugary foods and beverages, mainly between meals. If you ingest sugary foods, rinse your mouth with water. Brush your teeth 30 minutes later to remove any lingering sugars.
Chew Sugar-Free Gum
Chewing sugar-free gum, particularly xylitol-containing gum, promotes saliva production. Saliva neutralizes acids and remineralizes enamel, and it also slows cavity formation.
Chew gum after meals, especially if cleaning your teeth isn’t an option. Remember that chewing sugar-free gum can help with dental hygiene. It should be used in addition to, not in place of, regular brushing and flossing.
By incorporating this practice into your daily routine, you take a proactive step toward cavity detection and optimal oral health.
Regular Dental Check-ups and Cleanings
Routine dental examinations and cleanings are critical for avoiding and finding cavities early. Dentists can detect cavities in their early stages, and they can also be treated to prevent their development.
Professional cleanings remove plaque, tooth pain, and tartar from the teeth. Polishing is used during dental cleanings to remove stains and plaque that regular brushing may miss.
The decision between crowns versus implants becomes essential when dealing with severe cavities that require treatment and cleanings.
Sealants for Molars
Dental sealants are thin coatings placed on molar and premolar chewing surfaces. These sealants fill the deep grooves and pits, making germs and food particles impossible to collect. Sealants are most helpful for youngsters, and they can also help adults in cavity-prone areas.
Sealants are frequently administered between the ages of 6 and 12, when the permanent molars emerge. Premolars with deep grooves are sometimes sealed as well. Sealants can also be used on adult teeth that have deep grooves.
Consider Fluoride Treatments
Fluoride treatments at the dentist’s office add an extra layer of cavity prevention. These treatments include putting a high concentration of fluoride in the teeth. It strengthens the enamel and prevents cavity formation.
Fluoride treatments can assist in preventing future cavities and reducing the development of existing ones. It is critical to consult with your dentist about whether fluoride treatments are appropriate for you.
They might differ based on your age and dental history. You can prevent cavities and keep your teeth healthy and strong.
Maintain a Balanced Diet
A vitamin and mineral-rich diet is essential for general health. It also includes dental health. Calcium, vitamin D, and phosphorus are necessary nutrients for healthy teeth. To encourage healthy teeth and gums, include dairy products, leafy greens, and nuts in your diet.
Avoid Acidic Foods and Drinks
Tooth enamel can be eroded by acidic meals and drinks such as citrus fruits, sodas, and some types of wine. Reduce your intake of acidic foods to protect your teeth from acid assaults, which can lead to cavity formation.
Instead, choose low-acid alternatives such as water, milk, and fresh vegetables. You can also attempt to consume these meals and beverages in moderation. Rinse your mouth with water afterward.
Stay Hydrated With Water
Water is crucial not just for your body but also for your oral health. Drinking water throughout the day aids in the removal of food particles and germs, thereby avoiding the formation of cavities. When feasible, choose fluoridated water for increased dental advantages.
Dry mouth can contribute to the formation of cavities by reducing saliva production. It is necessary for neutralizing acids and dangerous bacteria in the mouth. Drink at least 8 glasses of water and make it a habit to take sips throughout the day.
Knowing How to Stop a Cavity From Growing
Knowing how to stop a cavity from growing is critical for maintaining excellent dental health. A cavity can be effectively prevented from worsening by practicing proper dental hygiene. Make essential dietary modifications.
Begin implementing these strategies today to ensure a healthy smile tomorrow! Don’t put it off any longer; act today and say goodbye to cavities. Make an appointment for a dental exam for a broken tooth.
Be proactive in keeping your teeth healthy and cavity-free. Your grin will be great!
Did you find this article helpful? Check out the rest of our blog for more!
Home








